Cứu sống trẻ 20 tháng tuổi bị hóc xương lợn vào đường thở gây suy hô hấp nặng
Khai thác bệnh sử ghi nhận, bệnh nhi bị ho, khò khè, thở mệt 9 ngày, điều trị bác sĩ tư 2 ngày không bớt, nên nhập bệnh viện địa phương chẩn đoán hen phế quản nặng, điều trị thở oxy, phun khí dung thuốc dãn phế quản, kháng sinh tiêm tĩnh mạch, tình trạng không cải thiện nên chuyển Bệnh viện Nhi đồng Thành phố.
![]() |
| Bệnh nhi được nội soi cấp cứu lấy dị vật và được tiếp tục điều trị tại Khoa Hồi sức ngoại |
Tại Bệnh viện Nhi đồng Thành phố trẻ biểu hiện khò khè, khó thở, rút lõm ngực, thở gật gù cổ, nhiều đàm nhớt, bứt rứt, tím tái nên được đặt nội khí quản, giúp thở, truyền thuốc dãn phế quản và phun khí dung thuốc dãn phế quản qua máy thở, cũng như sử dụng kháng sinh điều trị viêm phổi. Tình trạng trẻ vẫn không cải thiện nên được hội chẩn chụp CT scan phổi cho thấy hình ảnh dị vật kích thước 0,5x1cm ở ngay chỗ chia đôi khí quản thành phế quản gốc bên phải và trái, hơi nằm chếch bên trái, nên được hội chẩn các chuyên khoa hô hấp, tai mũi họng, tiến hành nội soi đường thở cấp cứu sau khi có test nhanh COVID-19 âm tính.
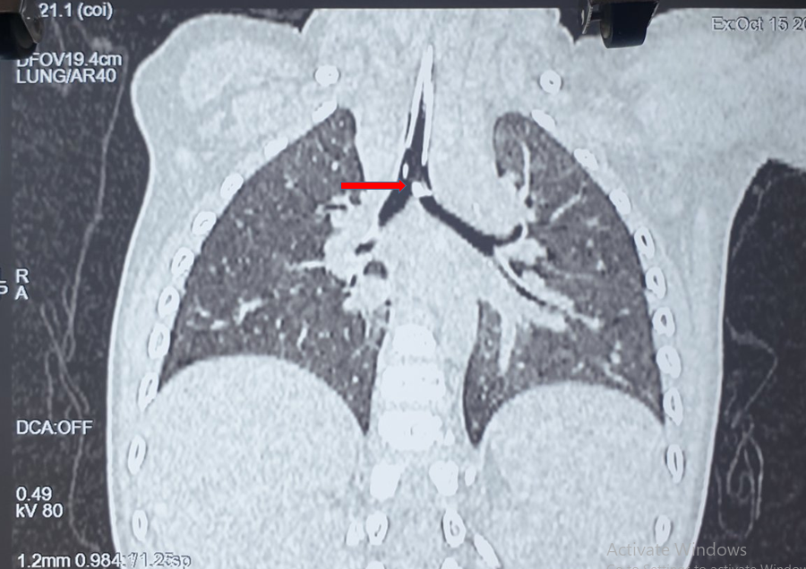
![]() |
| Hình ảnh CT scan ngực cho thấy mảnh dị vật |
Các bác sĩ tiến hành nội soi đường thở, gắp ra được mảnh xương lợn hình tam giác kích thước 0,5x1cm có bờ sắc nhọn cắm vào thành phế quản gốc bên trái, ghi nhận xây sát nhẹ, rỉ ít máu niêm mạc phế quản. Tiếp tục soi thám sát kiểm tra các “ngóc ngách” khác phát hiện thấy ở phế quản thùy dưới (P) có mảnh dị vật màu trắng nằm ngay phế quản phân thùy S8, gắp khó khăn ra 1 mảnh xương nhỏ 0,2×0,3cm. Trẻ được điều trị tiếp tục tại khoa hồi sức ngoại theo dõi biến chứng thủng phế quản, tràn khí trung thất, màng phổi.
![]() |
| Mảnh xương lợn hình tam giác có cạnh sắc nhọn cắm vào phế quản gốc bên trái và mảnh xương nhỏ khác |
Qua trường hợp này, các bác sĩ khuyến cáo phụ huynh trong khi chế biến thức ăn cần lấy hết xương ra, tốt nhất là lóc hết xương cho trẻ ăn phần thịt để tránh hóc xương đáng tiếc. Trường hợp này qua khai thác phụ huynh cho biết dùng nước hầm xương nấu cháo thịt cho trẻ ăn nhưng vô tình còn sót mảnh xương, dẫn đến tai nạn có thể gây nguy hiểm tính mạng trẻ nếu không được nghĩ đến và can thiệp cấp cứu kịp thời.
BS CK2 Nguyễn Minh Tiến
Bệnh viện Nhi đồng Thành phố
-
Những "công dân nhí" chào đời trong đêm Giao thừa Bính Ngọ 2026
-
Gần 180 ca cấp cứu nghi do pháo nổ, pháo hoa
-
Bộ Y tế cảnh báo nguy cơ từ virus Nipah, Việt Nam siết chặt phòng dịch
-
Những chính sách xã hội có hiệu lực từ năm 2026
-
“Cậu bé” 32 tuổi trở thành đàn ông thực thụ và cao thêm 7 cm sau khi điều trị tại Vinmec
- Tử vi tuần mới (16-22/3/2026): Tuổi Tỵ công việc suôn sẻ, tuổi Thân tài lộc may mắn
- Tử vi tuần mới (9-15/3/2026): Tuổi Sửu sự nghiệp bứt phá, tuổi Ngọ cơ hội rộng mở
- Kênh TikTok “XIN LỖI - BIẾT ƠN”: Gieo mầm nhân văn trên mạng xã hội
- Tử vi tuần mới (2-8/3/2026): Tuổi Mùi xây dựng nền tảng, tuổi Thân thuận buồm xuôi gió
- Tử vi tuần mới (23/2-1/3/2026): Tuổi Tý tài chính tăng trưởng, tuổi Hợi tài lộc hanh thông
- Phiên chợ "ma mị" nhất xứ Kinh Bắc
- Tử vi tuần mới (16-22/2/2026): Tuổi Mão nắm bắt cơ hội, tuổi Mùi tràn đầy nhiệt huyết
- Tử vi tuần mới (9-15/2/2026): Tuổi Thân tài chính khả quan, tuổi Sửu vận trình rực rỡ







